Giải bài 7 sinh 12: Thực hành Quan sát các dạng đột biến số lượng nhiễm sắc thể trên tiêu bản cố định và trên tiêu bản tạm thời
Nhằm áp dụng kiến thức lý thuyết vào thực tiễn, KhoaHoc xin chia sẻ bài Thực hành: Quan sát các dạng đột biến số lượng nhiễm sắc thể trên tiêu bản cố định và trên tiêu bản tạm thời Sgk Sinh học lớp 12. Hi vọng với kiến thức trọng tâm và hướng dẫn trả lời các câu hỏi chi tiết, đây sẽ là tài liệu giúp các bạn học tập tốt hơn
Nội dung bài học gồm hai phần
- Lý thuyết về đột biến nhiễm sắc thể
- Nội dung thực hành
A. Lý thuyết
Đột biến số lượng NSTgồm hai loại đột biến: đột biến lệch bội và đột biến đa bội
- Đột biến lệch bội là đột biến làm thay đổi số lượng NST ở 1 hoặc 1 số cặp NST tương đồng.
+ Một số dạng thường gặp: thể không (2n - 2), thể một (2n - 1), thể một kép (2n -1 - 1), thể ba (2n + 1), thể bốn (2n + 2), thể bốn kép (2n + 2 + 2),...
- Đột biến đa bội là dạng đột biến là tăng một số nguyên lần bộ NST đơn bội của loài (>2n).
+ Có 2 loại tự đa bội:
- thể đa bội lẻ: 3n, 5n, 7n,...
- thể đa bội chẵn: 4n, 6n, 8n, ...
B. Nội dung thực hành
I. Mục tiêu
- Quan sát được bộ NST dưới kính hiển vi.
- Xác định được một số dạng đột biến NST trên các tiêu bản cố định.
- Rèn kĩ năng làm tieu bản NST và xác định số lượng NST dưới kính hiển vi.
- Xác định được các cặp NST tương đồng của người trên ảnh chụp.
II. Chuẩn bị
Mỗi nhóm học sinh được trang bị:
- Kính hiển vi quang học kèm theo vật kính 10x, 40x và thị kính 10x.
- Tiêu bản cố định bộ NST tế bào bạch cầu của người bình thường và bộ NST bất thường ở người.
- Châu chấu đực (đầu nhỏ, minh fthon), nước cất, oocxêin axêtic 4 - 5%, phiến kính, lá kính, kim mổ, kéo mổ.
- Các bản phôt ảnh chụp bộ NST bình thường của người với độ phóng đại lớn.
- Các ảnh chụp bộ NST bất thường ở người từ tiêu bản cố định.
III. Nội dung thực hành
1. Quan sát các dạng đột biến số lượng NST trên tiêu bản cố định
- Đặt tiêu bản lên kính hiển vi
- Quan sát toàn bộ tiêu bản ở dưới vật kính 10x để xác định vị trí của những tế bào đã nhìn thấy NST.
- Chỉnh vào vùng có nhiều tế bào và chuyển sang quan sát ở vật kính 40x.
2. Làm tiêu bản tạm thời và quan sát NST.
Làm tiêu bản của tinh hoàn châu chấu đực:
- Dùng kéo cắt bỏ cánh, chân của châu chấu.
- Tay trái cầm phần đầu ngực, tay phải kéo phần bụng ra sẽ thấy 1 số nội quan trong đó có tinh hoàn.
- Đưa tinh hoàn lên phiến kính, nhỏ vài giọt nước cất.
- Dùng kim mổ tách mỡ xung quanh tinh hoàn.
- Nhỏ vài giọt oocxein axetic lên tinh hoàn để nhuộm trong thời gian từ 15 – 20 phút.
- Đậy lá kính, dùng ngón tay ấn nhẹ lên mặt lá kính cho tế bào dàn đều và làm vỡ tế bào để NST tung ra.
- Đưa tiêu bản lên kính quan sát.
- Đếm số lượng và quan sát hình thái của từng NST.
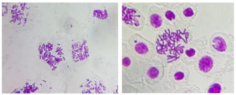
IV. Một số hình ảnh kết quả quan sát

Bộ NST của người bình thường và người mắc bệnh đao

Đột biến số lượng NST ở rễ hành (4n)

NST ở tinh hoàn châu chấu đực
Xem thêm bài viết khác
- Một số loài sinh vật có các đặc điểm giống các đặc điểm thích nghi của loài sinh vật khác, người ta gọi đó là các đặc điếm “bắt chước" Sinh học 12 trang 122
- Trình bày cơ chế phát sinh hội chứng Đao
- Giải bài 35 sinh 12: Môi trường sống và các nhân tố sinh thái
- Tại sao phần lớn các loại đột biến cấu trúc NST là có hại, thậm chí gây chết cho các thể đột biến?
- Giải thích tại sao lại khó có thể tìm được 2 người có kiểu gen giống hệt nhau trên Trái Đất
- Giải bài 9 sinh 12: Quy luật của Menđen: Quy luật phân li độc lập
- Trình bày sự khác biệt giữa chọn lọc tự nhiên và chọn lọc nhân tạo
- Nêu đặc điểm di truyền của tính trạng do gen nằm trên NST X quy định
- Hãy tìm một số bằng chứng ở mức độ sinh học phân tử đế chứng minh mọi sinh vật trên Trái Đất đều có chung một nguồn gốc
- Giải bài 13 sinh 12: Ảnh hưởng của môi trường lên sự biểu hiện của gen
- Bệnh phêninkêtô niệu ở người là do một gen lặn nằm trên NST thường quy định và di truyền theo quy luật Menđen.
- Muốn nghiên cứu mức phản ứng của một kiểu gen nào đó ở động vật ta cần phải làm gì?